- December 30th, 2025
- Category: Remi
Patiënt van de maand december: Remi
Remi was al een half jaar vermist, tot hij plots werd opgemerkt in het Liedtspark door een oplettende voorbijganger.
🐾 Het verhaal van Remi 🐾
Remi was al een half jaar vermist, tot hij plots werd opgemerkt in het Liedtspark door een oplettende voorbijganger. Hij werd meteen naar de dierenarts gebracht voor een check-up. Na het uitlezen van zijn chip konden we gelukkig snel zijn baasje contacteren.
Op het eerste zicht leek Remi in goede gezondheid, maar al snel viel op dat zijn slijmvliezen geel verkleurd waren. Dat was een alarmsignaal.
Er werd meteen een bloedonderzoek uitgevoerd en daaruit bleek dat Remi een zeer ernstige bloedarmoede had, met een hematocriet van amper 9% (het percentage rode bloedcellen in het bloed). Zijn toestand was kritiek en hij werd onmiddellijk opgenomen in hospitalisatie.
De grote vraag was: waardoor werd deze bloedarmoede veroorzaakt?
Uit het bloedonderzoek bleek dat Remi’s lichaam wel voldoende nieuwe rode bloedcellen aanmaakte, maar dat er iets was dat ze kapotmaakte.
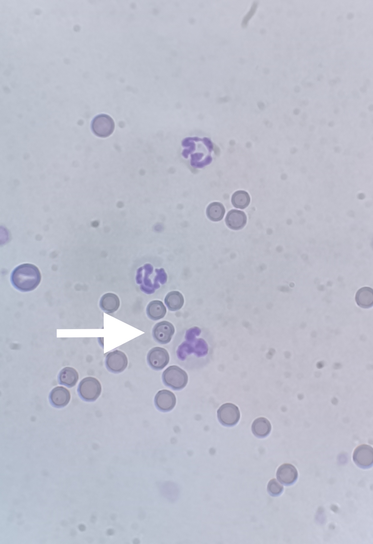
Daarom werd een bloeduitstrijkje bekeken onder de microscoop.
Daar zagen we afwijkingen in sommige rode bloedcellen, wat ons deed denken aan een infectieuze oorzaak.
Een staal werd opgestuurd naar het labo en enkele dagen later kregen we bevestiging: Mycoplasma haemofelis, een bacterie die via teken wordt overgedragen en rode bloedcellen vernietigt.
Remi werd onmiddellijk behandeld met antibiotica en cortisone. Gelukkig sloeg de behandeling goed aan: na enkele dagen was zijn hematocriet al gestegen naar 20%. Hij mocht naar huis, en een week later kwam hij terug op controle. Het goede nieuws? Zijn hematocriet was verder gestegen tot 25%! 🎉
Remi is ondertussen weer veilig thuis bij zijn baasjes en zijn andere vriendjes. Wat een opluchting – en wat een vechter! 💪🐱

