- January 19th, 2026
- Category: Kato
Patiënt van de maand januari: Kato
Kato is een lieve cavia die samen met haar zusje Kika drie jaar geleden uit een opvangcentrum werd geadopteerd. Sindsdien genieten ze van een groot, omheind stukje weide waar ze een heerlijk vrij leven leiden.
Kato (links) met haar zus Kika (rechts)
Patiënt van de Maand: Kato
Kato is een lieve cavia die samen met haar zusje Kika drie jaar geleden uit een opvangcentrum werd geadopteerd. Sindsdien genieten ze van een groot, omheind stukje weide waar ze een heerlijk vrij leven leiden.
Enkele weken geleden viel het de eigenaar op dat Kato’s keel wat dikker leek dan normaal. Het voelde zacht aan en Kato had er geen last van, maar uit voorzorg werd een bezoek aan de dierenarts gepland.
Omdat cavia’s van nature erg stressgevoelig zijn, kreeg Kato eerst een lichte sedatie. Vervolgens werden röntgenfoto’s van de hals genomen. Hierop was een zachte zwelling te zien, zonder harde knobbels, kapsels of verkalkingen die iets over de oorzaak hadden kunnen vertellen.
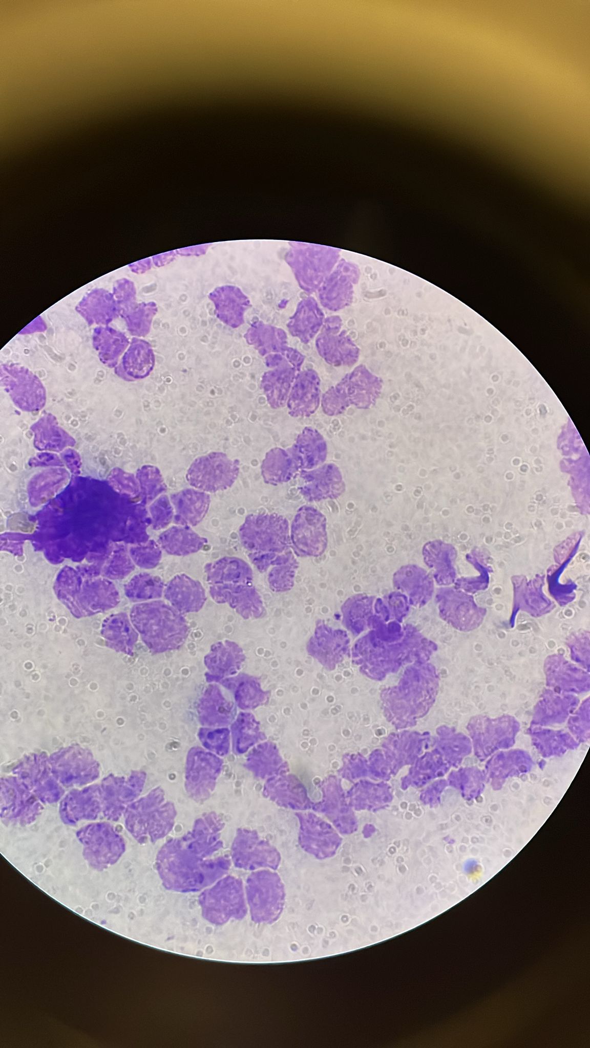
Om meer te weten te komen, werd de zwelling aangeprikt. Er kwam helder vocht uit, wat hoop gaf dat het misschien om een onschuldige cyste ging. Het vocht werd onderzocht onder de microscoop. Helaas lieten de cellen een ander beeld zien. Het uitstrijkje werd naar een specialistisch laboratorium gestuurd, en daar kwam de definitieve diagnose: maligne lymfoom, een kwaadaardige tumor van het lymfatisch weefsel.
Voorlopig doet Kato het gelukkig nog prima. Indien ze klachten zou krijgen, kan ze worden ondersteund met medicatie, zolang dat ethisch verantwoord is. De eigenaar weet dat de ziekte voortschrijdend is en dat Kika binnenkort afscheid zal moeten nemen van haar zusje.
Het belangrijkste wat we van Kato kunnen leren: elke zwelling of massa verdient aandacht, hoe onschuldig het ook lijkt. Zo kunnen we tijdig ingrijpen en het welzijn van onze dieren beschermen.
Hopelijk kan Kato nog een tijdje zorgeloos genieten van het buitenleven samen met Kika. En als het moment komt dat het nodig is, zorgen wij ervoor dat haar afscheid zacht en pijnloos verloopt, zodat haar een aftakelingsproces bespaard blijft.

